Hip Resurfacing
A bone-conserving alternative to total hip replacement for active patients — preserving your natural anatomy, enabling return to high-impact activities, and now available to both men and women with the latest ceramic-on-ceramic implant technology.
What is Hip Resurfacing?
Hip resurfacing is a surgical procedure that treats hip arthritis while preserving significantly more of your natural bone than a traditional total hip replacement. Instead of removing the entire femoral head (the ball of the hip joint), it is reshaped and capped with a smooth metal or ceramic covering. The damaged hip socket is also resurfaced with a matching shell.
Because the natural bone structure is preserved, the replacement closely matches the size and mechanics of your original hip. This results in a more stable joint with a lower risk of dislocation, and makes any future revision surgery — should it ever be needed — significantly easier.
Mr Hussain is currently one of the highest volume hip resurfacing surgeons in the UK and internationally and is recognised by the National Consultant Information Programme (NCIP). He is also listed among the UK surgeons performing ReCerf ceramic-on-ceramic hip resurfacing on Surface Hippy, the international patient community directory.
Advantages Over Total Hip Replacement
The Implants Mr Hussain Uses
Mr Hussain selects the most appropriate implant for each patient based on their anatomy, bone quality, activity goals, and gender. He is one of few UK surgeons offering both metal-on-metal and ceramic-on-ceramic resurfacing options.
Adept
A proven metal-on-metal resurfacing system with excellent long-term results. Used primarily in male patients with adequate femoral head size. Well-established track record with robust clinical evidence.
ReCerf
A ceramic-on-ceramic resurfacing implant suitable for both male and female patients. Eliminates metal ion concerns associated with traditional resurfacing. Uses hybrid fixation with cement in the femoral component.
H1
The latest generation ceramic-on-ceramic resurfacing implant with totally cementless fixation. Suitable for both men and women. Represents the cutting edge of hip resurfacing technology.
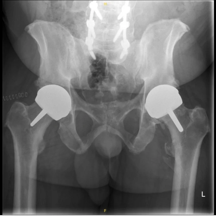
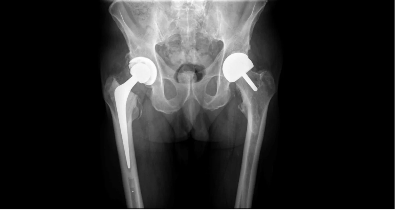
Surgical Images & X-rays



Who is Suitable for Hip Resurfacing?
Hip resurfacing is best suited for active patients with hip arthritis who wish to preserve their natural bone and return to demanding physical activities. Mr Hussain will assess your suitability based on your imaging, bone quality, femoral head size, and activity goals during your consultation.
Ideal candidates typically include:
Day-Case Hip Resurfacing
Mr Hussain was the first surgeon at the Royal Orthopaedic Hospital to perform day-case hip and knee arthroplasty. For suitable patients, hip resurfacing can be performed as a day-case procedure — meaning you go home the same day as your surgery.
Suitability for day-case discharge depends on the timing of your surgery, your overall medical fitness, and the distance between your home and the hospital. Mr Hussain will discuss this option with you during your consultation.
Recovery Timeline
Every patient is different, but here is a typical recovery journey following hip resurfacing surgery.
What Patients Say
"As a highly experienced orthopaedic consultant myself, I can confidently reassure anyone under his care. He performed a hip resurfacing on me four months ago and I was back operating on my own patients. He has a lovely demeanour and instils confidence with those he consults with. A treasure to his hospital."
Patient Stories
Every patient's journey is different. These are real accounts from people who chose hip resurfacing with Mr Hussain — in their own words.
Hip Resurfacing FAQs
Read more: Returning to sport after hip resurfacing →
Considering Hip Resurfacing?
Book a specialist consultation with Mr Hussain to discuss whether hip resurfacing is the right option for you.